Clareamento dental a laser
Qualquer pessoa pode ter seus dentes clareados, desde que eles estejam íntegros, sem muitas restaurações.
Veja algumas técnicas de clareamento:
Técnicas caseiras com substâncias químicas.
Técnicas utilizadas no consultório com o auxílio de luz para aquecimento ou laser.
Todas são capazes de realizar o clareamento. O que as difere é o tempo que é levado para concluir uma técnica e outra.
O Clareamento caseiro demora mais tempo, porém é menos agressivo ao dente. Quanto mais rápidas são as técnicas, maior efeito colateral provocam. Este efeito, basicamente é sensibilidade dentinária.
Clareamento à Laser
Para um sorriso mais branco é usado uma técnica de clareamento à laser. A boca é protegida por uma máscara de borracha com pequenos furos, que deixam apenas os dentes à mostra. Em seguida é aplicado um gel à base de peróxido de hidrogênio a 35%, que é um poderoso despigmentante.
O laser é passado dente a dente por uma espécie de caneta com ponta luminosa. O laser ativa o produto, que remove os pigmentos internos e externos.
O clareamento deve ser feito a cada dois ou três anos.

Perguntas Freqüentes
Como funciona o clareamento dental?
As moléculas dos géis oxidantes (liberadores de oxigênio) penetram na intimidade do esmalte e da dentina, liberando oxigênio que, por sua vez, "quebra" as moléculas dos pigmentos causadores das manchas.
Como posso clarear meus dentes?
Os dentes podem ser clareados através de géis ou pastas oxidantes (liberadores de oxigênio) das seguintes maneiras:
No consultório: o dentista isola os dentes (com um lençol de borracha) para proteger a gengiva e aplica um agente oxidante forte. O clareamento dental a laser consiste na ativação do gel clareador especial sobre o dente de uma forma mais rápida que a convencional, podendo-se obter o efeito desejado em uma única sessão.
Em casa (doméstico): o paciente, sob a orientação do dentista, leva um gel oxidante fraco, para usar diariamente em casa.
Os produtos usados no clareamento são seguros à saúde geral?
Sim. Como outros produtos e medicamentos médicos e odontológicos, quando usados corretamente conforme orientação, não promovem nenhum prejuízo à saúde geral.
A mídia divulgou que o clareamento doméstico poderia potencializar o aparecimento do câncer. É verdade?
Essa informação não tem fundamento. Tanto que a FDA (Food and Drug Administration) e a ADA (American Dental Association) aprovam o uso de peróxidos em cremes dentais, que são usados indiscriminadamente pela população. Essas entidades também não desaprovam o uso de clareadores dentais, desde que supervisionado por dentistas.
O dente clareado fica enfraquecido?
Não. A estrutura dental não é afetada.
O clareamento altera as restaurações já existentes?
Não. Mas o paciente precisa saber que talvez tenha que trocar ou retocar as restaurações antigas: uma vez que as restaurações não sofrem ação dos clareadores, parecerão mais escuras frente aos dentes clareados, causando desarmonia estética.
Posso fazer clareamento em qualquer idade?
Sim. Não há contra-indicação específica quanto à idade. À partir dos 10 anos, é aceitável.
Durante o clareamento, o que não devo fazer?
Fumar durante o tratamento, tomar café, chá, beterraba, vinho tinto e refrigerantes a base de Cola em excesso.
O dente clareado pode escurecer novamente?
Sim. Mas nunca como era antes. Após 1 a 2 anos, pode haver a necessidade de uma manutenção.
Clareamento Dental
O que eu preciso saber sobre clareamento dental?
É um recurso estético para deixar os dentes mais brancos, realçando e embelezando o sorriso.
Os dentes podem ficar escurecidos com a idade, com hábito de fumar, tomar café em excesso. Outras causas podem estar associadas como tratamento de canal, traumatismos e uso de antibióticos.
Meus dentes podem ser clareados?
Sim. Qualquer pessoa pode ter seus dentes clareados desde que eles não tenham restaurações muito amplas.
Como funciona o clareamento dental?
As moléculas do gel oxidante (=liberador de oxigênio) penetram na intimidade do esmalte e da dentina do dente, liberando oxigênio que, por sua vez, “quebra as moléculas dos pigmentos causadores das manchas”.
Como posso clarear meus dentes?
Através da aplicação de um gel de 2 maneiras:
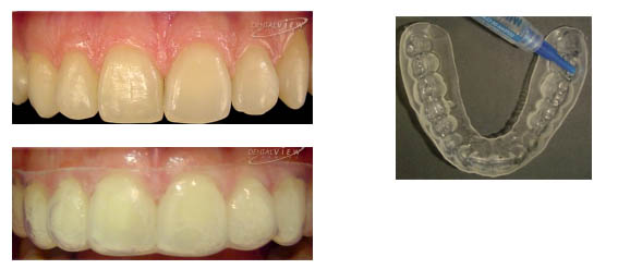
- Em casa: com um gel (menos concentrado) em uma moldeira e/ou
- No consultório: o dentista aplica o gel mais concentrado e usa o laser ou a luz azul um aparelho fotopolimerizador (tipo o antigo”nuvafill”)
O clareamento a laser tem como vantagens ser mais rápido que os demais e a sua luz terapêutica diminui as chances de sensibilidade durante o tratamento.
O dente fica enfraquecido?
Não. A estrutura dental não é afetada.
O produto usado pelo dentista é seguro à saúde?
Sim. Desde que seu dentista use produtos aprovados pela American Dental Association (ADA) e o paciente siga corretamente as orientações. Estes produtos não provocam danos à gengiva, nem aos dentes, se o paciente fizer o tratamento supervisionado.
O clareamento altera as restaurações já existentes?
Não. Mais o paciente precisa saber que talvez algumas restaurações antigas tenham que ser retocadas, outras trocadas. Como as restaurações não sofrem as alterações dos clareadores, parecerão mais escuras frente aos dentes clareados causando desarmonia estética.

Posso fazer clareamento em qualquer idade?
Sim. Não há contra-indicação específica quanto à idade. A partir de 10, 15 anos é aceitável.
Pessoas que fumam podem clarear os dentes?
Sim. Mas o ideal é que façam o clareamento a laser e evitem fumar durante o tratamento.
Quanto tempo dura o tratamento feito em casa?
Durante 10 dias em média, usando todas as noites. Pode haver variação dependendo do grau de escurecimento e de quanto se deseja clarear.
Quanto tempo dura o clareamento a laser?
Com o laser, em 1 ou 2 consultas, dependendo da cor inicial e da causa do escurecimento.
O dente clareado pode escurecer novamente?
Sim. Mais nunca como era antes. Após 1 a 2 anos, pode haver a necessidade de uma manutenção que é feita de 2 a 3 noites ou uma reaplicação do laser.
Durante o clareamento, o que eu devo evitar?
Durante o tratamento deve-se evitar fumar, usar batom colorido e ingerir bebidas ou alimentos com substâncias corantes como café, açaí, chá preto, refrigerantes a base de “cola”, mate, vinho tinto, uísque, molho de tomate e durante o tratamento, e principalmente nas primeiras 48h.
Bibliografia : www.portalapcd.com.br/orientandopaciente
De Paula Odontologia Juiz de Fora - MG